Cancer Research

 研究室の目標

  1) 口腔がんを主体とする口腔顎顔面領域の疾患の病態解明と創薬研究

  2) 専門医による精密かつ高度な口腔病理診断

  3) 国際的に活躍する次世代口腔病理医の育成

口腔がんの病態解明を目指す

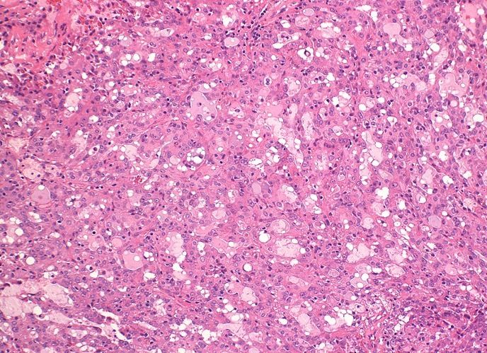
がんは、遺伝子異常によって細胞内のシグナル伝達経路が異常に制御されることで、発症・進展します。私たちはこれまでに、口腔がんにおいてHippo経路の異常が、細胞増殖や薬剤耐性、免疫回避に深く関与していることを明らかにしてきました。しかし、この経路の全容やその病態メカニズムには、まだ多くの未解明な点が残されており、さらなる理解を目指して研究を進めています。

研究対象は、口腔がんの大部分を占める口腔扁平上皮癌に加え、歯原性腫瘍や唾液腺腫瘍にも広がっており、それぞれの疾患の発症機構や進展因子の解明に取り組んでいます。

研究手法としては、ヒトおよびマウスのがん細胞株を用いた分子生物学的解析、タンパク質間相互作用解析、リン酸化プロテオミクス、DNA/RNA/タンパク質のマルチオミクス解析、バイオインフォマティクス解析、分子病理学的手法、遺伝子改変マウスやin vivo xenograftモデルを用いたマウスモデル解析、さらにシングルセル解析など、多角的かつ先進的なアプローチを駆使しています。

歯周病と全身疾患の関連の解明を目指す

歯周病が非アルコール性脂肪性肝炎(NASH)や早産、心血管系疾患、アルツハイマー型認知症など関連するメカニズムを明らかにすることを目指しています。口腔細菌やマウスモデルを用いた解析を行っています。医科歯科連携の研究を推進しています。

        Coming soon

診断検査法・治療薬の開発に挑戦

2019年、がんゲノム医療が本格的に始動しました。がん組織から遺伝子を解析することで、遺伝子異常に基づいた最適な分子標的薬を選択できるようになり、いわゆる個別化医療の実現に一歩近づいています。

しかしながら、口腔がんにおいて承認されている分子標的薬は限られており、がんゲノム医療によって実際に治療薬の選択につながる症例は、まだ多くはありません。

そこで私たちは、遺伝子異常とシグナル伝達経路のメカニズムに基づいた、新たな診断検査法および治療薬の開発に取り組んでいます。

抗体、低分子化合物、ペプチド、mRNAなど、さまざまなモダリティの開発にも挑戦し、未来のがん個別化医療の実現に向けた研究を進めています。

専門医による精密かつ高度な口腔病理診断 国際的に活躍する次世代口腔病理医の育成

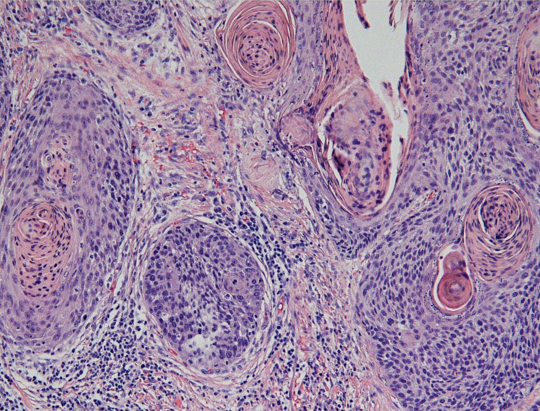
口腔病理診断では、口腔顎顔面領域に発生するさまざまな疾患、特に口腔扁平上皮癌、歯原性腫瘍、唾液腺腫瘍などの診断において、高度な専門知識・経験・技術が求められます。そのため、口腔病理専門医や細胞診専門歯科医の資格取得が強く推奨されます。

さらに、がんゲノム医療の進展に伴い、口腔病理医には分子標的薬の効果予測(コンパニオン診断)やエキスパートパネルへの参加が求められ、分子病理専門医(口腔)の資格も重要になっています。当研究室では、大学院生がこれらの専門資格を取得できるよう、体系的な教育・指導体制を整えています。

一方、これまで形態学を中心として発展してきた口腔病理学は、近年では遺伝子やタンパク質レベルの解析に加え、AIなどの先端技術を取り入れた“次世代デジタル口腔病理学”へと進化を遂げています。当研究室では、これらのマルチモーダルな技術を融合させ、研究・教育・診断に応用できる実践的スキルの習得を目指しています。

また、日常的な英語使用や留学、国際学会での発表経験を通じて、将来的に国際社会でも活躍できるグローバルな口腔病理専門医の育成にも力を入れています。

News!!

 2025年8月1日 口腔顎顔面病理病態学研究室に安藤俊範教授が着任しました

SNS(facebook, instagram, X)

所在地

734-8553

広島県広島市南区霞1-2-3

広島大学 大学院医系科学研究科 口腔顎顔面病理病態学研究室 基礎・社会医学棟5階

2025年8月1日から新たに始動しました 広大口腔病理を宜しくお願いいたします